Skip to main content
Back to Top
Apply Giving myAugusta
Resources for:
Students
Students Faculty & Staff Parents & Family Alumni Community
Augusta University Logo
  • Academics
    Graduates pose together in their regalia.
    Augusta University celebrates fall 2025 graduates »

    Academics Home

    Colleges & Schools

    Programs of Study
    • Degrees & Programs
    • Course Catalog
    • Course Schedule
    • Program Pathways
    • Academic Calendar
    • Online Programs
    • Accelerated Degree Programs
    Resources
    • Academic Success Center
    • Advising
    • Counseling Services
    • Honors Program
    • Libraries
    • Testing & Disability Services
    • Writing Center
    Outside the Classroom
    • Army ROTC
    • Study Abroad
    • Experiential Learning
    • First Year Experience
    • Center for Undergraduate Research
    • Career Services
    • Jags Live Well
  • Admissions
    Augusta University's jaguar mascot, Augustus, and two students hold their hands like a paw
    Augusta University awarded $1.3 million grant to expand student support »

    Admissions Home

    Visit Campus

    Request Information

    Apply to AU
    • First-Year Freshmen
    • Transfer Students
    • Dual Enrollment
    • Graduate Students
    • Medical College of Georgia
    • Dental College of Georgia
    Opportunities
    • Degree & Programs
    • Honors Program
    • Program Pathways
    • Military-Affiliated Students
    • New Student & Family Transistions
    • On-Campus Housing
    Financial Aid
    • Student Financial Aid
    • Net Price Calculator
    • Scholarships
    • Cost of Attendance
    • Apply for Federal Aid
  • Campus Life
    President Keen and First Lady stand with students to cut ribbon on outdoor rec center
    Center for Outdoor Recreation and Education celebrates grand opening »

    Campus Life Home

    Athletics

    Community
    • Army ROTC
    • Living-Learning Communities
    • Military & Veteran Services
    • Mentorship
    • New Student & Family Transistions
    • Jags 4 Jags Mentoring Program
    Campus Services
    • Dining Services
    • Roarstore
    • Housing
    • Student Health
    • Parking & Transportation
    • Jagcard
    Get Involved
    • Clubs & Organizations
    • Greek Life
    • Campus Recreation
    • Student Government
    • Jaguar Production Crew
    • Intramural Sports
  • Research
    Three men in suits stand in front of a Augusta University Medical College of Georgia backdrop and smile at the camera. The man in the middle is holding a plaque.
    MCG scientists investigate arthritis drug’s impact on Alzheimer’s disease »

    Research Home

    Opportunities
    • Undergraduate Research
    • Graduate & Postdoctoral Research
    • Clinical Trials
    • Core Laboratories
    • Innovation Commercialization
    Initiatives
    • Cancer
    • Cardiovascular
    • Immunology
    • Neuroscience
    • Aging
    Resources
    • Centers & Institutes
    • Ethics & Compliance
    • Institutional Review Board
    • Sponsored Programs
    • Tools for Researchers
  • About AU
    Five women and two men jump and raise their hands in celebration.
    AU contributed over $1.6 billion to Georgia’s economy in FY 2024 »

    About AU

    Jagwire News

    Leadership
    • President
    • Provost
    • Administration
    • Enrollment Student Affairs
    • Faculty Senate
    We are AU!
    • Our Mission
    • Working at AU
    • Traditions
    • History
    • Augusta, GA
    Resources
    • MyAugusta
    • Calendar of Events
    • Brand Guidelines
    • Portals
    • Faculty Directory
Resources For
  • Current Students
  • Faculty & Staff
  • Parents & Family
  • Alumni & Friends
Apply
Giving
MyAugusta
Trending Search Terms
  • D2L LMS
  • Email
  • Pounce
  • Calendar
  • Registrar
  • Housing
  • Academic Calendar
  • Financial Aid
  • Parking
  • Library
  • Human Resources
  • Information Technology
Medical College of GeorgiaUltrasound Education
Ultrasound Education
  • Home
  • About US
  • Faculty & Staff
  • CME
    • Family Medicine Faculty
    • Teaching Ultrasound
    • Pediatric Focused CME
    • International Ultrasound
      • International Ultrasound
      • Ultrasonido en Educación Medica
    • POCUS
      • Clinical POCUS Help
      • Tactical POCUS
        • Tactical POCUS
        • Tactical POCUS- Spanish
      • SOTUS
      • POCUS Educational Resources
  • UME
    • MCG Students
    • FMPC 5000
    • SURG 5000
    • GMED 5000
    • OBGN 5000
    • EMED 5001
  • GME
    • Residents/Fellows
    • Anesthesiology
    • Emergency Medicine
    • Family Medicine
    • Internal Medicine
      • MCG Internal Medicine
      • MCG Internal Medicine Elective
      • Emory St. Francis Internal Medicine
      • Kennestone Internal Medicine
      • Spalding Internal Medicine
    • Pediatrics
    • Surgery
    • Critical Care
    • Regional Campus Residencies
    • Pediatric Emergency Fellowship
      • Pediatric Emergency Fellowship
      • PEM / US Fellowship
    • Ultrasound Fellowship
    • Rotations
      • 2 Week elective
      • 3 Week elective
      • 4 Week elective
      • EM PGY1 US elective
    • PA Ultrasound
      • PA Ultrasound
      • Physical Assessment CSI 1
      • IV Lab
      • Cardiology Course
      • Pulmonary Course
      • GI Course
      • Nephro/Uro Course
      • Emergency Medicine Course
    • DDEAMC Resident Ultrasound
  • Links
  • Ultra Soundbytes
  • May 2025
  • Augusta University
  • Colleges & Schools
  • Medical College of Georgia
  • Ultrasound Education
  • May 2025

May 2025

70Year-old Female with Left Thigh Redness and Pain

Author: Benjamin Caviston, MD PGY-3

Peer Reviewers: Lee LaRavia, DO; Dan Kaminstein, MD

Learning Objectives:

  • List/discuss DDX of Skin/Soft tissue Infections
  • Discuss use of US in the workup
  • Discuss the US characteristics/findings associated with NSTI
  • Review of recent literature regarding POCUS in diagnosis of NSTI

Case Presentation

  • 70F with history of lung cancer on immunotherapy presents with 1 day of progressive left thigh redness/pain. Noticed pain and redness to medial thigh which has rapidly progressed over course of the day, now has area of central bruising
  • T: 36.9 °C (Oral) HR: 96(Peripheral) RR: 24 BP: 101/73 SpO2: 100% WT: 53.200 kg 
  • Exam: Large area of erythema, warmth, induration to the left medial thigh, central area of ecchymosis, No Crepitus, No Knee effusion
  • DDx: Necrotizing Fasciitis, Cellulitis, Erysipelas, Abscess, Pyomyositis, Septic Arthritis, Deep Venous Thrombosis, Superficial Thrombophlebitis

Differential Diagnosis

  • Pulmonary: Asthma/COPD. Pneumonia, pneumothorax
  • Cardiogenic: PE, ACS/MI, CHF, cardiomyopathy, dysrhythmia, cardiac tamponade, valvular disease, post-viral peri/myocarditis
  • Other: Cancer, Tuberculosis, HIV, Chagas,  Endomyocardial Fibrosis (EMF), Schistosomiasis, hookworm, syphilis, Rheumatic heart disease

POCUS Images 

  • Medial Thigh Soft Tissue

POCUS Interpretation

  • Cobblestoning: Fat lobules separated by hypoechoic fluid (Blue arrows)
    • Seen in any cause of tissue edema

cobbllstoning

  • Hyperechoic lines (Red Arrow) with dirty white shadowing (Green Arrows)
    • This Finding is suggestive of gas within the Soft Tissues

hyperechoiclines

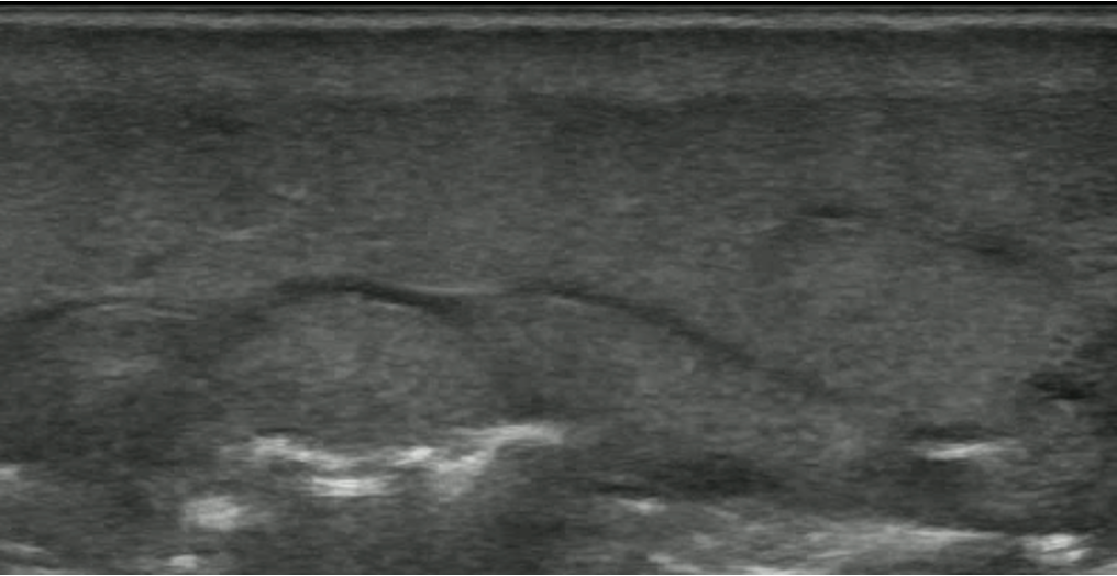
  • Fluid Stripe along Fascial Plane

fluid stripe

Diagnosis and Case Disposition

  • This patient had Necrotizing Fasciitis of the Thigh
  • Surgery was consulted and agreed to operate based on exam and POCUS before any labs and formal imaging could be completed
  • Unfortunately Patient rapidly decompensated and went into Cardiac Arrest before being taken to OR
  • Blood Cultures ultimately grew Clostridium Septicum

Pathophysiology and Diagnosis

  • Rapidly progressive infection along fascial planes
  • Typically Polymicrobial
    • Anaerobes: Clostridium
    • Gram Positives: Streptococcus (GAS), Staphylococcus (MRSA)
    • Gram Negative: Pseudomonas, Klebsiella, Vibrio Vulnificus
  • Most sensitive diagnostics are CT and MRI but both have low specificity (Tso 2018)
    • CT Sensitivity 80%
    • MRI Sensitivity 93%

Literature Review

  • Castleberg et al 2014; Proposal of the STAFF Protocol, evaluating for S ubcutaneous T hickening, A ir and F ascial F luid to rule in Necrotizing Fasciitis
    • Not Validated but is a useful mental framework
  • Marks et al 2023; Systematic Review of imaging findings associated with necrotizing fasciitis, only 3 studies and 221 cases included
    • Fluid Accumulation: 85% Sensitive 45% Specific
    • Thickened Fascia: 67% Sensitive 55% Specific
    • Subcutaneous Gas: 6% Sensitive 100% Specific
  • Lahham et al 2022; Prospective study (N=64) of patients presenting to ED with clinical concern for NSTI, results of POCUS were compared to CT and Surgical findings sensitivity of 100% and specificity of 98.2%
    • Small study, Sensitivity/Specificity higher than prior studies, 100% of positive cases had presence of soft tissue gas which does not reflect reality

Take Away Points

  • Necrotizing Fasciitis is an emergent and cannot miss diagnosis
  • CT and MRI are the most sensitive studies (poor sensitivity) but delay time to diagnosis
  • POCUS findings include gas within tissues and fluid along fascial planes
  • US is useful to Rule-in the diagnosis of necrotizing fasciitis but ruling out should be done in conjunction with advanced imaging (CT or MRI), scoring systems and surgical consultation
  • Consider routine use of POCUS in patients whose presentation is concerning for NSTI to facilitate rapid treatment and consultation

References

  • Castleberg, E., Jenson, N., & Am Dinh, V. (2014). Diagnosis of necrotizing faciitis with bedside ultrasound: the STAFF Exam. Western Journal of Emergency Medicine, 15(1), 111.
  • Lahham, S., Shniter, I., Desai, M., Andary, R., Saadat, S., Fox, J. C., & Pierce, S. (2022). Point of Care Ultrasound in the Diagnosis of Necrotizing Fasciitis. The American journal of emergency medicine, 51, 397–400. https://doi.org/10.1016/j.ajem.2021.10.033
  • Marks A, Patel D, Sundaram T, Johnson J, Gottlieb M. Ultrasound for the diagnosis of necrotizing fasciitis: A systematic review of the literature. Am J Emerg Med. 2023 Mar;65:31-35. doi: 10.1016/j.ajem.2022.12.037. Epub 2022 Dec 22. PMID: 36580698.
  • Tso D & Singh A. Necrotizing Fasciitis of the Lower Extremity: Imaging Pearls and Pitfalls. Br J Radiol. 2018;91(1088):20180093. doi:10.1259/bjr.20180093 - Pubmed
University Shield

Augusta University

1120 15th Street, Augusta, GA 30912

  •   Campus Maps
  •   Campus Contacts
  • A-Z Directory
  • Degrees & Programs
  • Employment
  • Accessibility
  • Accreditation
  • Campus Safety
  • Compliance Hotline
  • Human Trafficking Notice
  • Privacy Notices
  • Title IX / Sexual Misconduct
Apply Now Give Now

© 2026 Augusta University

Facebook Twitter LinkedIn Youtube Instagram
©